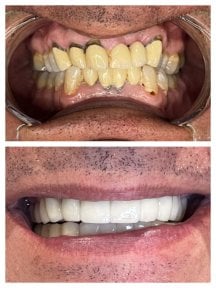
Dr. Susana Akdash hat in über 9 Jahren mehr als 900 All-on-4-Eingriffe durchgeführt und ist von Straumann sowie Medentika akkreditiert. Die Klinik bietet verschiedene Implantatoptionen an, wobei Straumann SLAKTIV-Implantate für 8 Einheiten in der Regel etwa 8.800 € kosten – dies umfasst die Implantate, Zirkonoxid-Kronen und Aufenthalte in einem 4-Sterne-Hotel. Die WestDent-Klinik besitzt den Status eines offiziellen Straumann®-Anbieters sowie die DIN EN ISO 9001-Akkreditierung und weist eine Erfolgsquote von 99 % auf. Dr. Akdash absolvierte ihre internationale Ausbildung an der SGU Russland und der Ege-Universität in der Türkei.














































