


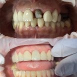
Dr. Emre Ünlü verfügt über 18 Jahre Fachwissen und hat über 1.100 Implantatfälle durchgeführt, wobei er sich auf All-on-6-Zahnlösungen spezialisiert hat. Das All-inclusive-Paket der Klinik kostet etwa 9.150 EUR und umfasst 12 in Deutschland hergestellte Bego-Implantate, 28 Vita-Zirkonoxidkronen, 15 Übernachtungen, Transfers, Untersuchungen und Dolmetscherdienste. Diese Behandlung, die zwei Besuche erfordert, stellt das Lächeln in 13–15 Tagen wieder her, wobei weiterhin höchste deutsche Zahnstandards eingehalten werden. Dental Bosphorus behandelt jährlich 6.000 Patienten mit einer Patientenzufriedenheitsrate von 4,5/5.





















